Ontdek excellente mondzorg bij de Delftse Tandartspraktijk in 2024
Welkom bij de Delftse Tandartspraktijk, waar uw mondgezondheid onze hoogste prioriteit is. Als u in 2024 van tandarts wilt veranderen […]
Informatie over tandartsen in Nederland
Welkom bij de Delftse Tandartspraktijk, waar uw mondgezondheid onze hoogste prioriteit is. Als u in 2024 van tandarts wilt veranderen […]
Zoeken naar de ‘beste tandarts Delft’ of ’tandartspraktijk Delft’? Zoek niet verder! De Delftse Tandartspraktijk staat synoniem voor excellente tandheelkundige […]
Een Revolutie in Tandheelkunde De Delftse Tandartspraktijk heeft zich snel gepositioneerd als een voorloper in de wereld van tandzorg. Hun […]
In Delft staat mondgezondheid hoog in het vaandel, en bij één van de toonaangevende praktijken, de Delftse Tandartspraktijk, willen we […]
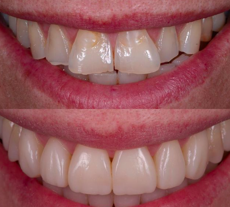
Een stralende glimlach is een van de mooiste geschenken die u aan de wereld kunt geven. Maar wanneer uw mondgezondheid […]
Bij gebitsslijtage is het essentieel om de juiste zorg te zoeken. Bij de Delftse Tandartspraktijk wordt een glimlach als geen […]
Op 1 april vond de jaarlijkse Tandartsdag in Delft plaats, waar kwetsbare inwoners van Delft gratis behandelingen konden krijgen van […]
Als je net als Richard last hebt van tandartsangst, dan weet je hoe beangstigend het kan zijn om een tandartspraktijk […]
Orthodontische behandelingen kunnen helpen om een perfecte glimlach te creëren. Een van de meest populaire behandelingen zijn onzichtbare beugels. Deze […]
Onzichtbare beugels, ook wel bekend als transparante beugels, zijn een revolutionaire nieuwe tandheelkundige techniek die steeds populairder wordt onder patiënten […]