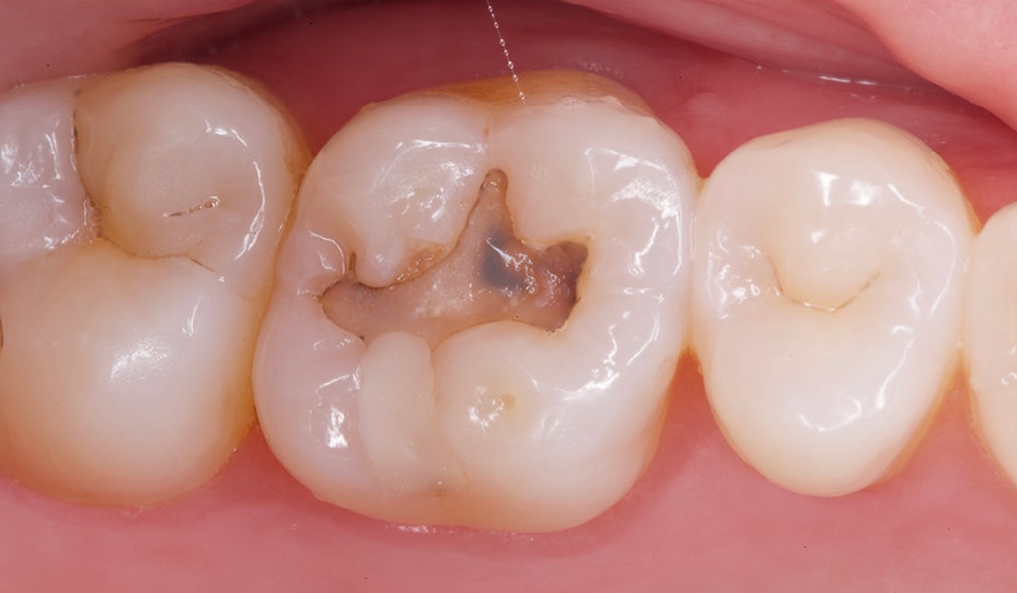
Op de foto is een molaar te zien met een duidelijke cariëslaesie die zowel glazuur als dentine heeft doorbroken, omringd door twee gezonde kiezen. Dit beeld onderstreept het belang van professioneel advies cariëspreventie om zuren uit tandplak tijdig te neutraliseren en gaatjesontwikkeling te stoppen. Een goed afgestemd gebitsverzorgingsprogramma met fluoridebehandelingen, poets- en ruittechniek vormt in de tandartspraktijk de basis van effectieve mondzorg. Regelmatige controles en mondzorgadviezen helpen de integriteit van het gebit te behouden en voorkomen ingrijpende restauraties in de esthetische tandheelkunde, zodat een sterk, gezond en stralend gebit binnen handbereik blijft.

Wat is Advies Cariëspreventie?
Advies cariëspreventie richt zich op het voorkomen van gaatjes door middel van gerichte mondverzorging en advies door tandheelkundige professionals. Het helpt patiënten niet alleen om cariës te voorkomen, maar ook om bewust te worden van hun mondgezondheid. Dit kan inhouden dat je leert hoe je je tanden effectief kunt poetsen, welke voeding het beste is voor je gebit en hoe vaak je voor controle moet komen.
Waarom kiezen mensen in Delft hiervoor?
- Preventieve zorg voorkomt toekomstige problemen, wat leidt tot lagere kosten op de lange termijn.
- Mensen in Delft waarderen de persoonlijke benadering en de hoge kwaliteit van de zorg die lokale tandartspraktijken bieden.
- Door proactief bezig te zijn met hun mondgezondheid, kunnen patiënten hun zelfvertrouwen vergroten en een stralende lach behouden.
Hoe verloopt het behandelproces in de praktijk?
Het behandelproces begint met een grondig consult bij De Delftse Tandartspraktijk, waar je een ervaren tandarts of mondhygiënist ontmoet. Het proces omvat:
- Een uitgebreide mondcontrole en eventuele foto’s om cariës vroegtijdig te identificeren.
- Het bespreken van je gebitsverzorging routine, inclusief tips voor het gebruik van fluoride en goede poets technieken.
- Het opstellen van een gepersonaliseerd behandel- en adviesplan dat aansluit bij jouw situatie.
Wat zijn de kosten en hoe transparant worden deze besproken?
De kosten voor advies cariëspreventie kunnen variëren afhankelijk van de specifieke behandeling en de benodigde zorg. Bij De Delftse Tandartspraktijk is transparantie een belangrijk aspect. Patiënten worden vooraf geïnformeerd over de kosten en eventuele vergoedingen van hun zorgverzekering. Dit helpt je om een goed beeld te krijgen van wat je kunt verwachten.
Welke risico’s zijn er en hoe worden die beperkt?
Een veelvoorkomend risico bij gebitsverzorging is het negeren van symptomen zoals pijn of gevoeligheid. Dit kan leiden tot ernstigere cariës en mogelijk ingrijpende behandelingen. Door regelmatig te komen voor controles en advies, zoals bij de Delftse Tandartspraktijk, worden deze risico’s effectief beperkt door ervaren tandartsen en mondhygiënisten die de gezondheid van jouw gebit nauwlettend in de gaten houden.
Hoe verloopt het herstel en hoe lang blijft het resultaat merkbaar?
Na het volgen van de adviezen en behandelingen, ervaar je vaak een verbeterde mondgezondheid. Resultaten kunnen merkbaar zijn in de vorm van minder gevoeligheid en gezondere tanden. De effectiviteit van cariëspreventie kan maanden tot jaren aanhouden, vooral als je de aanbevolen mondhygiëneroutine blijft volgen. Regelmatige controles helpen om deze resultaten te waarborgen.
Veelgemaakte fouten en oplossingen
1. Fout: Onvoldoende onderhoud van de gebitsverzorging thuis
Veel mensen denken dat een bezoek aan de tandarts alleen voldoende is. Het is echter belangrijk om dagelijks je tanden goed te poetsen en regelmatig flossen. Zorg ervoor dat je de juiste producten gebruikt, zoals fluoride tandpasta, en volg je persoonlijke advies op.
2. Fout: Verwaarlozen van symptomen
Het negeren van pijn of gevoeligheid kan leiden tot ernstigere problemen. Bij de minste klachten is het verstandig om een afspraak te maken en deze te bespreken met een professional.
Samenvatting
- Advies cariëspreventie is essentieel voor een gezond gebit.
- De Delftse Tandartspraktijk biedt persoonlijke zorg met duidelijke informatie.
- Vermijd veelgemaakte fouten door goed onderhoud van je gebit en spoedige reacties op symptomen.
Wil je beginnen met je gebitsverzorging? Meld je aan voor een consult bij De Delftse Tandartspraktijk.
Voor vragen kun je ons bereiken via:
Telefoon en WhatsApp: +31 15 202 3397
E-mail: receptie@ddtp.nl
Adres: Ireneboulevard 54, 2611 DT Delft
Voor meer online zichtbaarheid is het slim een ervaren marketingbedrijf in te schakelen: Marketing Diensten.
